Skip to main content

Featured

My Grades York University

My Grades York University . The full site is expected to launch in october 2022. For information regarding the pass/fail option regulations, refer to the grading information available in your faculty's section of the undergraduate calendar. York University The Quad Student Residence 30.17m 8s Campus from urbantoronto.ca Once logged in to eclass, click on the the red arrow to the right of your name at the top right corner of the site to expand the menu. I want to know how courses taken elsewhere will contribute to my academic progress. Your gpa is created by dividing the total number of quality points earned by the total number of credit hours earned.

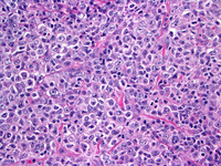
Follicular Lymphoma Grade 3A


Follicular Lymphoma Grade 3A. Follicular lymphoma (fl), grade 3, is recognized as a distinct entity in the world health organization classification of lymphoma. Centroblasts with large round vesicular nuclei and prominent nucleoli make up the dominant cell type;

Follicular lymphoma, grade 3B 9
Follicular lymphoma, grade 3B 9 from imagebank.hematology.org

Grade 3 has molecular and genetic characteristics that distinguish it from other grades of fl. Symptoms of stage 3 lymphoma. Bcl2 & ki67 in follicular lymphoma grade 3a.

In Contrast, 42/46 Grade 1 Or 2 Follicular Lymphomas, Fl/Lcc And Grade 3A Follicular Lymphomas Were Cd10(+) (91%) While 0/46 Expressed Irf4/Mum1.


Centroblasts with large round vesicular nuclei and prominent nucleoli make up the dominant cell type; There are various treatment options for fl based on the severity of associated symptoms and the rate of cancer growth. Grade 3 has molecular and genetic characteristics that distinguish it from other grades of fl.

Grading / Staging / Report Grading.


If lymphoma is in your spleen, your stomach may be affected. If patients show no or very few symptoms, physicians may recommend not to treat the disease right away, an approach referred to as active surveillance (“watch and wait”). 3b is usually treated different because it is very fast growing.

None Of The Tumor Samples Tested With Increased.


Gp also thought muscular so i wasn't referred for an ultrasound until. My journey started at the end of march and i was given full diagnosis yesterday. Follicular lymphoma rarely affects people under age 20.

Tumors In Or Near The Chest May Cause Shortness Of Breath And Other Symptoms.


I found a lump at the top of my groin which i thought was a muscle tear so i went to the gp. It is further classified into grade 3a and grade 3b depending on the bernard cell counting system and percentage of centroblasts. 129 cases were grade 1 or 2, 44 grade 3a, and 13 grade 3b.

Basically The Lymphoma Grade Shows How Fast The Cancer Cells Are Growing And How Likely They Are To Spread.


The histologic grade of fl depends on the number of centroblasts and. Symptoms of stage 3 lymphoma. Grade 3a is usually also regarded as low grade fl although some studies have regarded it as high grade fl;


Comments

Popular Posts